Существует ряд факторов, которые приводят к необходимости проведения профессиональной гигиены полости рта. Прежде всего — это неудовлетворительная индивидуальная гигиена полости рта, часто из-за скученности зубов и не проведенного ортодонтического лечения, затрудненный доступ к определенным участкам за счет особенностей строения челюстей, наиболее частыми причинами становится банальная лень пациентов и, как результат, наличие зубных отложений и воспалительные процессы, что сопровождается неприятным запахом изо рта, разрушению зубо-десневого прикрепления, образованию костного кармана и выпадению зубов.

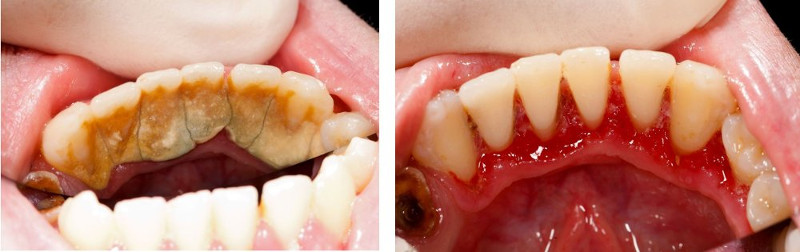
Зубные отложения делятся на неминерализованные и минерализованные. Неудовлетворительная гигиена полости рта приводит к тому, что пищевые остатки образуют очень стойкую к разрушению биопленку и зубные бляшки, а так же накопление мягкого зубного налета и его постепенное распространение на поверхности зуба. Под воздействием микрофлоры полости рта, продуктов их распада происходит постепенная минерализация зубного налета и его превращение в твердый зубной камень. По месту расположения различают два вида зубного камня: наддесневой и поддесневой. Сначала образуется наддесневой зубной камень, который за короткое время разрушает зубо-десневое прикрепление и начинает формировать поддесневой зубной камень, который интенсивно растет внутрь по корню зуба, разрушая связочный аппарат пародонта, впоследствии, образуется зубо-десневой карман — промежуток между десной и зубом, далее — костный карман и, как следствие всего этого, выпадение зуба. Зубные отложения очень способствуют фиксации и размножению микроорганизмов, что еще более затрудняет самостоятельное удаление налета пациентом.
Врачи-стоматологи рекомендуют проводить профессиональную гигиену полости рта не меньше двух раз в год. Количество приемов зависит от индивидуальных особенностей организма и состава слюны. Основная задача стоматолога убрать стойкую биопленку, неминерализованные зубные отложения. Гигиена, проведенная специалистом, также способствует устранению налета от красящих напитков, продуктов, курения, неприятного запаха в результате всех вышеперечисленных негативных воздействий. После чистки, естественный тон зубов становится светлее, а пациенты отмечают ощущение свежести в ротовой полости.
Профессиональная гигиена делится на несколько этапов.
Прежде всего при помощи специальных щеток и паст стоматолог снимает мягкий зубной налет.

Затем при помощи специальных наконечников (скейлеров)
и ультразвука
доктор снимает минерализированный зубной налет, при этом эмаль зубов не травмируется, как считают некоторые пациенты и отказывают себе в подобных процедурах, что влечет за собой негативные последствия. Далее, в комплексный подход к профессиональной гигиене, обязательно включен воздушно-абразивный метод обработки зуба или Air Flow,
т. е. под воздушным давлением в наконечник подается специальный порошок с водой, чем обеспечивается мягкое, но качественное очищение поверхностей зубов без непосредственного контакта с эмалью зуба, особенно из труднодоступных мест, межзубных промежутков, в основном, это завершающий этап снятия различных видов налета с зубов, при котором мы нежно очищаем пигментированный налет табака, чая и кофе.

Далее переходим к полировке, именно создание гладкой и скользкой поверхности зуба, значительно затрудняет фиксацию микроорганизмов и формирование биопленки, профилактика развития кариеса зубов и заболеваний пародонта (тканей, окружающих зуб). Проводится полировка при помощи резиновых «чашечек», полиров, головок и щеточек с полировочными пастами различной абразивности.
Заключительным этапом гигиены является фторирование, стоматолог использует разные формы фторсодержащих препаратов (растворы, гели, лаки, пасты), которые предотвращают появление чувствительности за счет повышения устойчивости эмали к раздражающим факторам.
Следует обратить внимание, что если вы не были у стоматолога около 6 месяцев, то ваш прием начнется с процедуры профессиональной гигиены полости рта, т. к. даже при постановке пломбы в кариозный зуб, доктору необходимо видеть истинный цвет ваших зубов, чтобы подобрать оттенки будущей реставрации, тогда комплекс зуб+реставрация будут единым целым и никто не догадается, что в этом месте находится реставрация.
Гигиена полости рта, проведенная в условиях клиники стоматологом или гигиенистом, позволяет на долгие годы сохранить красоту и здоровье ваших зубов, продлить срок эксплуатации реставраций, коронок, имплантов, а также сохранить здоровыми ваши десны и иметь свежее дыхание, что является залогом успешного общения круглые сутки.

В следующей статье мы расскажем о немаловажном этапе профессиональной гигиены полости рта — подбор средств индивидуальной гигиены полости рта.
Материал подготовлен Н. П. Елисеевой

